Have any question?
Follow Us:
Case Title: Implant placement next to a peri apically infected site

PATIENT MEDICAL HISTORY

  • Male
  • 34 yrs
  • Not Mentioned
  • Not Mentioned
  • Case from Prof Simon Wright

Main Complaint

  • Has a UL1 denture and hates it
  • Does not like the margin on the UR1
  • Does not want a fixed bridge UR1 to UL2 

Planning for an implant placement

  • Peri-apical lesion UR1 seen on radiograph
  • RCT carried out 10 years ago
  • Asymptomatic
  • No clinical signs
  • Is the UR1 restorable? 

 

CBCT scan OF UR1 Site, peri-apical cyst?

Application and considerations for this case

  • Should we ignore the UR1 infected site and place an implant UL1?
  • Further endodontic treatment and restoration UR1 
  • Extraction of the UR1 and place 2 single implants?
  • Is the lesion healing vs active disease?
  • Strict criteria is no periapical area present after rct. The meta-analyses had indicated that using strict criteria for judging treatment success, a minimum follow-up period of 3 years (Ng et al., 2007)
  • What is the risk/difficulty of placing an implant in the UR1 extraction site?

 

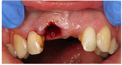
Extraction of the UR1

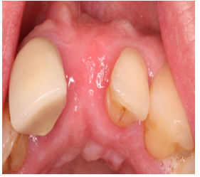
Single Implant placement UL1 for cantilever bridge

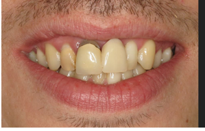
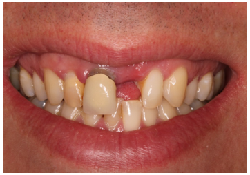
Before And After

Alternative options for this case

  • Place 2 single implants – but more challenging in the extracted site and may need a more complex/expensive grafting procedure. This has been shown to put some patients off (Chiapasco and Zaniboni, 2009)
  • Immediate implant placement in the UR1 extraction area would be highly risky due to previous infection and skill required to place implant in the correct restorative position
  • We took into account the age of the patient and failure in the UL1 site may allow the UR1 site to be used in the future
  • Also risk of bone loss between 2 implants  if not placed >3mm apart
  •     (Tarnow, Cho and Wallace, 2000) 
  •  

    The patient has a high lip line and aesthetic outcome was important

Treatment Planning and Options
# Treatment Option
1 Replace with a new chrome denture
2 Implant supported bridge anteriorly...
3 Periodontal Therapy
4 Decision regarding UL5...
5 Replace and restore stained fillings...
6 Ideally treatment option 7 can be completed...
Final Treatment Plan
# Final Treatment Option
1 Further discussions regarding UL5...
2 Ideally treatment option 7 can be completed...

The final decisions and treatment considerations would be made following provisional wax up...