Have any question?
Follow Us:
Case Title: Implant Placement to Replace Denture

PATIENT MEDICAL HISTORY

  • Male
  • 65 yrs
  • Drinks and smokes occasionally
  • Unhappy wearing a denture and would like to explore the available options available to him, ideally implants.
  • Case from Prof Simon Wright

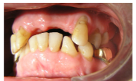
1) 1. Initial situation of teeth anterior and lateral view

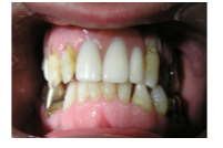
2) Anterior view with denture

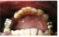
3. Presence of teeth

-UR7--- UR3UR2---UL3UL4UL5----
-LR7LR6--LR3LR2LR1LL1LL2LL3LL4--LR6--

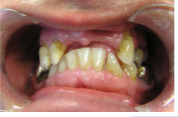
4) Restorations of upper and lower teeth

5) Maxillary CT scan confirms that there is 3.5mm (maximally) of ridge present UL anterior region

6) Study models/dental casts

Treatment Planning and Options
# Treatment Option
1 Remain with existing chrome
2 Replace with a new chrome denture
3 Bridge UL3-UR2, Bridge UR3-UR7
4 Implant supported bridge posteriorly...
5 Decision regarding UL5...
6 Replace and restore stained fillings...
7 It is proposed to accept the following treatment options 4 and 5...
8 Further discussions regarding UL5...
Final Treatment Plan
# Final Treatment Option
1 Further discussions regarding UL5...
2 Ideally treatment option 7 can be completed...
3 Implant supported bridge posteriorly...

The final decisions and treatment considerations would be made following provisional wax up...